Table of Contents
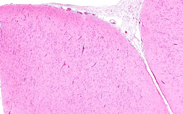
Washington University Experience | DEVELOPMENTAL MALFORMATIONS | Tuberous Sclerosis | 16B2 Tuber (Case 16) 4X H&E
16B2-5 This cortical tuber is shown at several magnifications. The normal cortical pattern is replaced by disorganized dyslaminate cortex characterized by large dysmorphic neurons in superficial cortical layers and numerous, occasionally binucleate, astrocytes and ballooned cells with indeterminate origin with neuronal nuclei and glassy “glial” cytoplasm. (H&E)
