Table of Contents
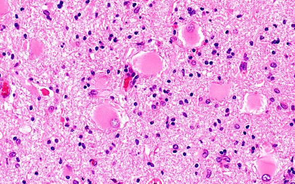
Washington University Experience | DEVELOPMENTAL MALFORMATIONS | Tuberous Sclerosis | 16B7 Tuber (Case 16) H&E 40X 2
The giant ballooned cells of indeterminate differentiation are often located at and blur the gray white junction. (H&E)
