Table of Contents
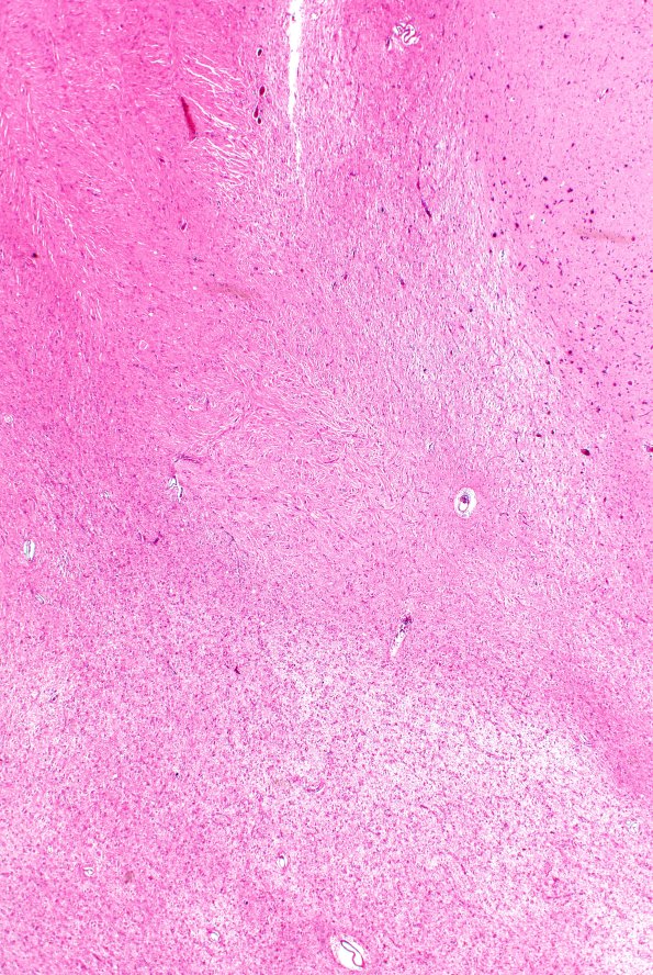
Washington University Experience | DEVELOPMENTAL MALFORMATIONS | Tuberous Sclerosis | 16B8 Tuber (Case 16) H&E 2XA
There are often unusual idiosyncratic features of tubers such as calcifications or, in this case, dense eosinophilic processes. (H&E)
