Table of Contents
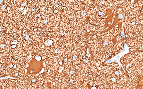
Washington University Experience | DEVELOPMENTAL MALFORMATIONS | Tuberous Sclerosis | 16C3 Tuber (Case 16) GFAP 40X
These dysmorphic ballooned, occasionally binucleate, cells are strongly immunoreactive in a context of small astrocytes and numerous astrocytic processes. (GFAP IHC)
