Table of Contents
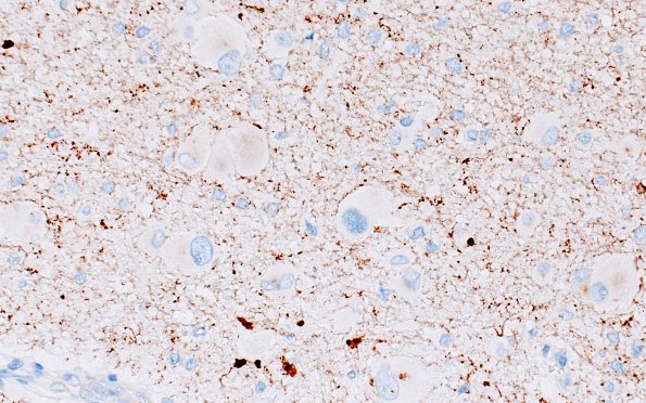
Washington University Experience | DEVELOPMENTAL MALFORMATIONS | Tuberous Sclerosis | 16D2 Tuber (Case 16) SYN 40X
This subcortical collection shows neuritic processes which percolate between unlabeled ballooned cell bodies. (SYN IHC)
