Table of Contents
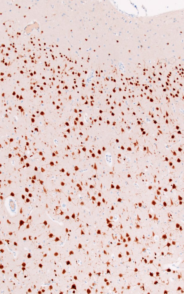
Washington University Experience | DEVELOPMENTAL MALFORMATIONS | Tuberous Sclerosis | 16E2 Tuber (Case 16) WM NeuN 10X 1
The cortical neurons are strongly NeuN immunoreactive stained both in a subpopulation of dysmorphic forms and more normal appearing neurons. (NeuN IHC)
