Table of Contents
« prev
next »
Washington University Experience
|
DEVELOPMENTAL MALFORMATIONS
|
Tuberous Sclerosis
|
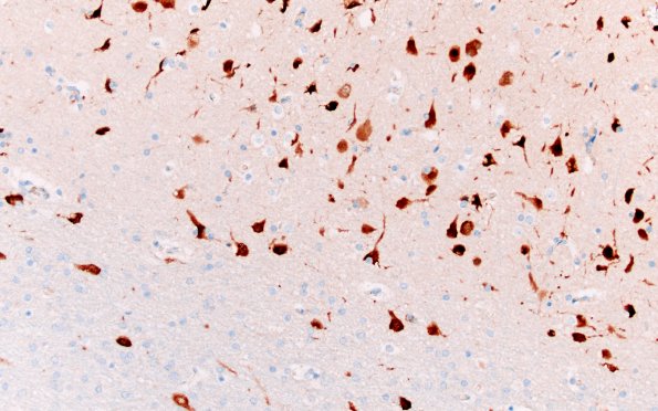
16E3 Tuber (Case 16) WM NeuN 20X 1
These subcortical white matter ballooned cells are uniformly unstained for NeuN. (NeuN IHC)
Image Info
Camera Maker:
Olympus
Camera Model:
DP74
Shutter Speed:
37/45679 sec
Metering Mode:
Multi-Spot
Gallery RSS
|
Archive View
|
Login
|
Powered by
Zenphoto