Table of Contents
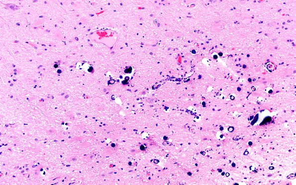
Washington University Experience | DEVELOPMENTAL MALFORMATIONS | Tuberous Sclerosis | 17B6 Tuber (Gene defect, Case 17) H&E 20X 2
Calcifications are present as spherules and as microcalcifications involving small blood vessels. (H&E)
