Table of Contents
« prev
next »
Washington University Experience
|
DEVELOPMENTAL MALFORMATIONS
|
Tuberous Sclerosis
|
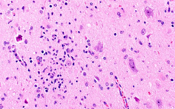
17B7 Tuber (Gene defect, Case 17) H&E 40X 4
Rare large microglial nodules were encountered. (H&E)
Image Info
Camera Maker:
Olympus
Camera Model:
DP74
Shutter Speed:
19/4000 sec
Metering Mode:
Multi-Spot
Gallery RSS
|
Archive View
|
Login
|
Powered by
Zenphoto