Table of Contents
« prev
next »
Washington University Experience
|
DEVELOPMENTAL MALFORMATIONS
|
Tuberous Sclerosis
|
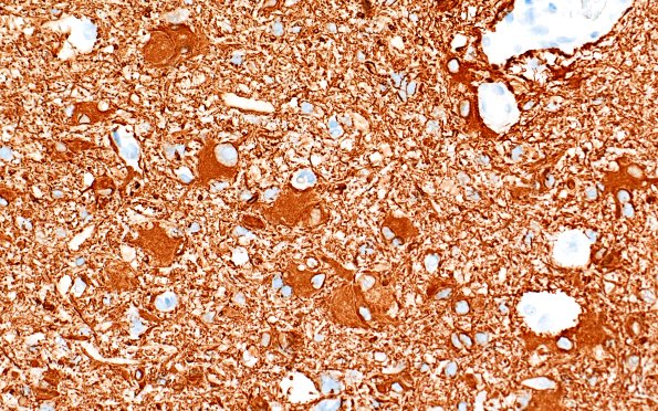
17C2 Tuber (Gene defect, Case 17) GFAP 40X 1
The large majority of balloon cells were strongly GFAP immunoreactive. (GFAP IHC)
Image Info
Camera Maker:
Olympus
Camera Model:
DP74
Shutter Speed:
30/7109 sec
Metering Mode:
Multi-Spot
Gallery RSS
|
Archive View
|
Login
|
Powered by
Zenphoto