Table of Contents
« prev
Washington University Experience
|
DEVELOPMENTAL MALFORMATIONS
|
Tuberous Sclerosis
|
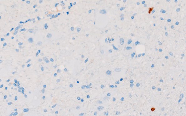
17F2 Tuber (Gene defect, Case 17) NeuN 40X 2
Balloon cells do not label with NeuN. (NeuN IHC)
Image Info
Camera Maker:
Olympus
Camera Model:
DP74
Shutter Speed:
1/200 sec
Metering Mode:
Multi-Spot
Gallery RSS
|
Archive View
|
Login
|
Powered by
Zenphoto