Table of Contents



Washington University Experience | DEVELOPMENTAL MALFORMATIONS | Tuberous Sclerosis | 5D8 Tuberous Sclerosis (Case 5) Nestin 9A

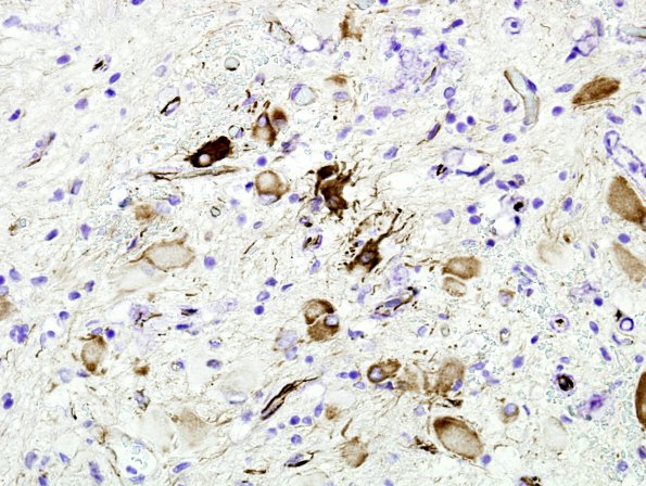
5D8 Tuberous Sclerosis (Case 5) Nestin 9A
Nestin stains the balloon cells in this case (Nestin IHC)


Gallery RSS RSS Feed | Archive View | Login | Powered by Zenphoto