Table of Contents
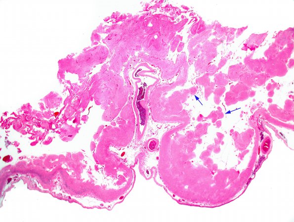
Washington University Experience | EPILEPSY | Encephalopathy, Static, aka Cerebral Palsy | 2A1 Encephalomalacia, static, remote (aka cerebral palsy, Case 1) H&E 2X
This 16 year old patient had suffered a poorly characterized cerebral event in the territory of the middle cerebral artery near the time of birth and had developed a static encephalopathy and chronic seizures, which eventually were medically intractable. The cortical focus of origin of the seizures was resected. ---- Much of the cerebral tissue is replaced by fingers of residual cells (arrows, H&E).
