Table of Contents
Washington University Experience | EPILEPSY | Encephalopathy, Static, aka Cerebral Palsy | 2A2 Encephalomalacia, static, remote (aka cerebral palsy, Case 1) H&E 3
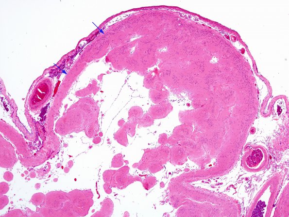
Notice that the subpial cortical layer (layer one, arrows) is the most preserved lesion as in typical infarcts (H&E)
