Table of Contents
Washington University Experience | EPILEPSY | Grid Placement Effect | 6A2 Complex Malformation (Case 7) 3 Grid Effect
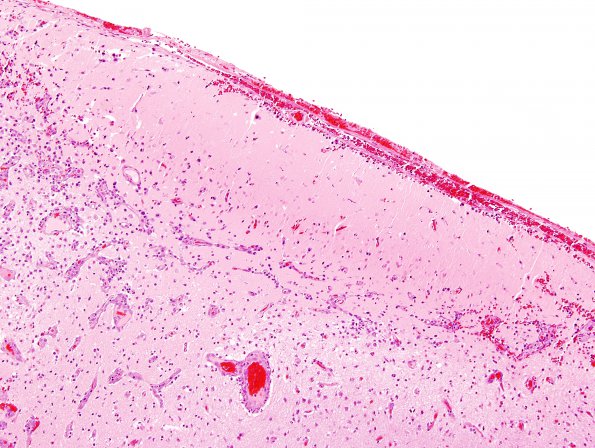
Higher magnification image of one focus of necrosis/infarction shows superficial leptomeningeal hemorrhage and an area of hypocellular coagulative necrosis surrounded by early macrophage infiltration. (H&E)
