Table of Contents
Washington University Experience | EPILEPSY | Hippocampal Sclerosis | 9B2 Hippocampal sclerosis (Case 9) LFB-PAS whole mount
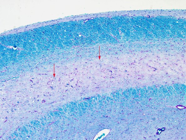
Often the junction with CA2 neurons will remain (arrows) and the loss of neurons in CA1 will be easier to appreciate compared to their expected density.
