Table of Contents
Washington University Experience | EPILEPSY | Hippocampal Sclerosis - Malformation | 1A6 Hippocampal Sclerosis & Dysplasia (Case 1) H&E 1
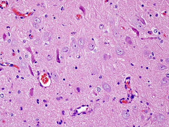
Relatively large neurons are arranged in groups and jumbles, as shown in the NeurN stain in the next image (1B).
