Table of Contents
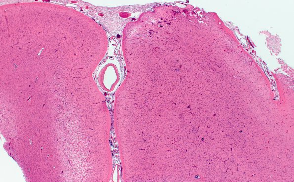
Washington University Experience | EPILEPSY | Rasmussen Chronic Encephalitis | 10A1 Rasmussens (Case 10) H&E 8
Whole mount of a resected cortical specimen shows overall hypercellularity of the parenchyma as well as an area of microcystic parenchymal loss (H&E)
