Table of Contents
« prev
next »
Washington University Experience
|
EPILEPSY
|
Rasmussen Chronic Encephalitis
|
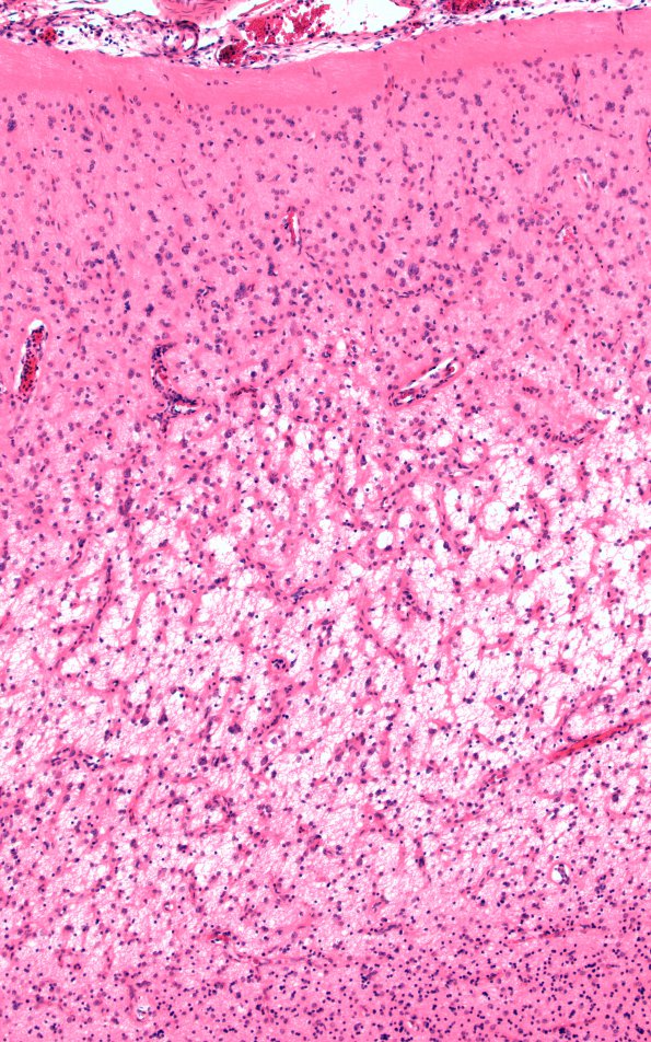
10A2 Rasmussens (Case 10) H&E 7
Higher magnification of the microcystic region of image 10A1 (H&E)
Image Info
Camera Maker:
Olympus
Camera Model:
DP74 #1
Shutter Speed:
23/50000 sec
Metering Mode:
Average
Gallery RSS
|
Archive View
|
Login
|
Powered by
Zenphoto