Table of Contents
« prev
next »
Washington University Experience
|
EPILEPSY
|
Rasmussen Chronic Encephalitis
|
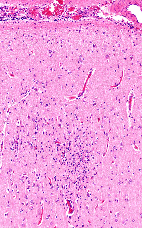
11A1 Rasmussens (Case 11) H&E 20X 2
11A1,2 Typical large microglial nodule (H&E)
Image Info
Camera Maker:
Olympus
Camera Model:
DP74 #1
Shutter Speed:
25/18797 sec
Metering Mode:
Average
Gallery RSS
|
Archive View
|
Login
|
Powered by
Zenphoto