Table of Contents
« prev
next »
Washington University Experience
|
EPILEPSY
|
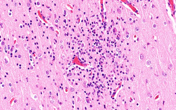
Rasmussen Chronic Encephalitis
|
11A2 Rasmussens (Case 11) H&E 40X 4
Higher magnification of image #11A1 (H&E)
Image Info
Camera Maker:
Olympus
Camera Model:
DP74 #1
Shutter Speed:
18/3125 sec
Metering Mode:
Average
Gallery RSS
|
Archive View
|
Login
|
Powered by
Zenphoto