Table of Contents
« prev
next »
Washington University Experience
|
EPILEPSY
|
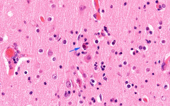
Rasmussen Chronic Encephalitis
|
11A4 Rasmussens (Case 11) H&E 60X copy
Microglial cells surround a dying neuron (arrow) representing neuronophagia (H&E)
Image Info
Camera Maker:
Olympus
Camera Model:
DP74 #1
Shutter Speed:
4/339 sec
Metering Mode:
Average
Gallery RSS
|
Archive View
|
Login
|
Powered by
Zenphoto