Table of Contents



Washington University Experience | EPILEPSY | Rasmussen Chronic Encephalitis | 1B8 Rasmussens Chronic Enceph (Case 1) H&E 6

1B8 Rasmussens Chronic Enceph (Case 1) H&E 6
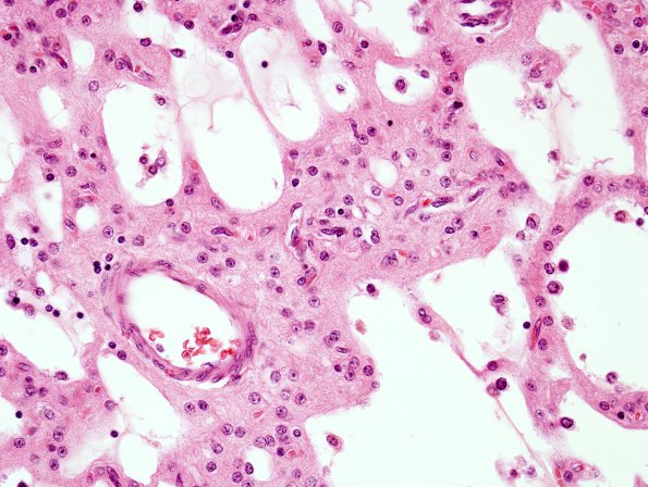
Higher magnifications of porous region shows gliosis composed of small round astrocytes (H&E).


Gallery RSS RSS Feed | Archive View | Login | Powered by Zenphoto