Table of Contents



Washington University Experience | EPILEPSY | Rasmussen Chronic Encephalitis | 2A2 Rasmussens Chronic Enceph (Case 2) H&E 1

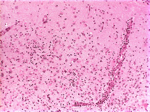
2A2 Rasmussens Chronic Enceph (Case 2) H&E 1
Prominent perivascular lymphocytic cuffing, parenchymal lymphocytic and microglial reaction (H&E).


Gallery RSS RSS Feed | Archive View | Login | Powered by Zenphoto