Table of Contents



Washington University Experience | EPILEPSY | Rasmussen Chronic Encephalitis | 6A3 Rasmussen's Encephalitis (Case 6) T2 - Copy

6A3 Rasmussen's Encephalitis (Case 6) T2 - Copy
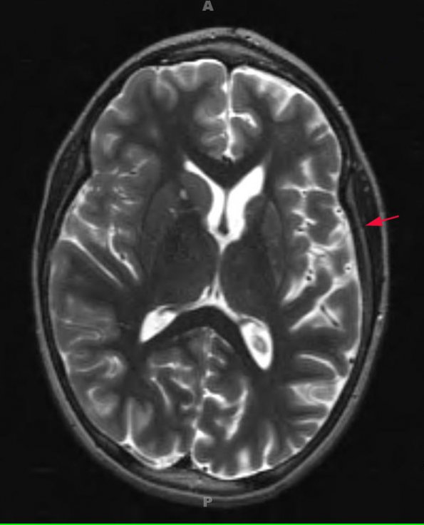
MRIs show atrophy and hydrocephalus ex vacuo (arrow marks involved side)


Gallery RSS RSS Feed | Archive View | Login | Powered by Zenphoto