Table of Contents
« prev
next »
Washington University Experience
|
EPILEPSY
|
Rasmussen Chronic Encephalitis
|
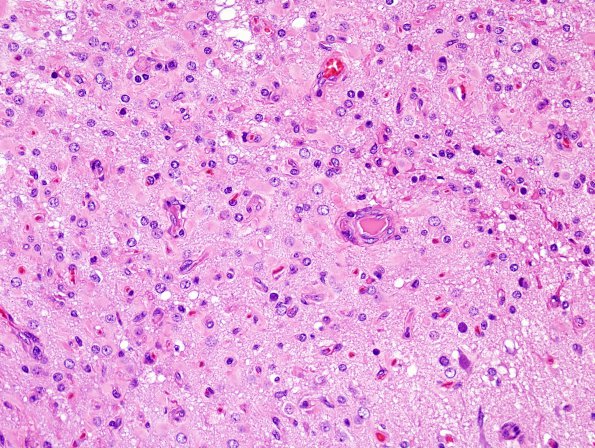
7D Rasmussen's Encephalitis (Case 7) H&E 14
More destructive histopathology is seen in some cases of RCE (H&E).
Image Info
Camera Maker:
Olympus Corporation
Camera Model:
DP70
Original Time Taken:
12-11-2014
Shutter Speed:
1/235 sec
ISO Sensitivity:
200
Metering Mode:
Spot
Gallery RSS
|
Archive View
|
Login
|
Powered by
Zenphoto