Table of Contents
« prev
next »
Washington University Experience
|
EPILEPSY
|
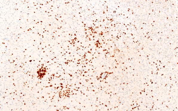
Rasmussen Chronic Encephalitis
|
7E2 Rasmussen's (Case 7) CD3 20X 2
Higher magnification of T cell infiltrate (CD3 IHC)
Image Info
Camera Maker:
Olympus
Camera Model:
DP74 #1
Shutter Speed:
41/100000 sec
Metering Mode:
Average
Gallery RSS
|
Archive View
|
Login
|
Powered by
Zenphoto