Table of Contents



Washington University Experience | EPILEPSY | Rasmussen Chronic Encephalitis | 8A1 Rasmussen's Encephalitis (Case 8) H&E 1

8A1 Rasmussen's Encephalitis (Case 8) H&E 1
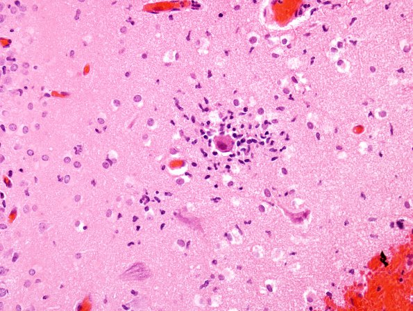
Microscopic appearance of RCE in this case is rich in neuronophagia (also seen in the next image) (H&E)


Gallery RSS RSS Feed | Archive View | Login | Powered by Zenphoto