Table of Contents



Washington University Experience | EPILEPSY | Rasmussen Chronic Encephalitis | 8A3 Rasmussen's Encephalitis (Case 8) H&E 5A

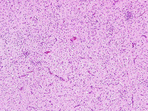
8A3 Rasmussen's Encephalitis (Case 8) H&E 5A
Strong encephalitic histopathology is prominent in this case (H&E).


Gallery RSS RSS Feed | Archive View | Login | Powered by Zenphoto