Table of Contents
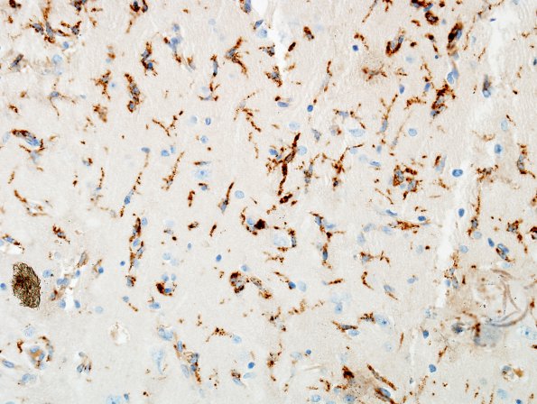
Washington University Experience | EPILEPSY | Rasmussen Chronic Encephalitis | 8B1 Rasmussen's Encephalitis (Case 8) CD68 1
Microscopic appearance of RCE in this case is rich in neuronophagia and shows numerous microglia (CD68).
