Table of Contents
Washington University Experience | EPILEPSY | Rasmussen Chronic Encephalitis | 9B2 Rasmussen's (Case 9) LCA 6
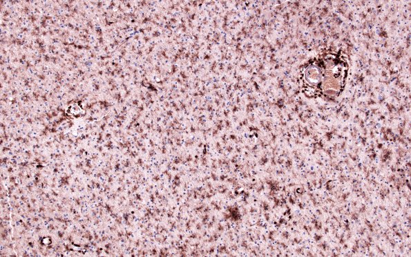
Higher magnification demonstrating lymphocytic cuffs and markedly increased numbers of microglia and hyperplastic rod cells CD45 IHC).
