Table of Contents
« prev
next »
Washington University Experience
|
EPILEPSY
|
Rasmussen Chronic Encephalitis
|
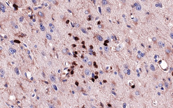
9B4 Rasmussen's (Case 9) LCA 2
Additional higher magnification image of microglia and lymphocytes (CD45 IHC)
Image Info
Camera Maker:
Olympus
Camera Model:
DP74 #1
Shutter Speed:
30/5597 sec
Metering Mode:
Average
Gallery RSS
|
Archive View
|
Login
|
Powered by
Zenphoto