Table of Contents
Washington University Experience | INFECTION | Bacteria | Abscess | Abscess, Early (Cerebritis - Initial Wall Formation) | 5A1 (Case 5) NP22-939 FLAIR - Copy
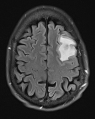
Case 5 History ---- The patient is a 48yo male with no significant past medical history who presented with blurry vision of the left eye and was found to have panuveitis and a left frontal brain lesion on imaging concerning for an abscess vs. metastatic disease. Operative procedure: Left frontal brain biopsy ---- 5A1 A focus of cerebritis with marked surrounding edema is seen in this FLAIR scan.
