Table of Contents
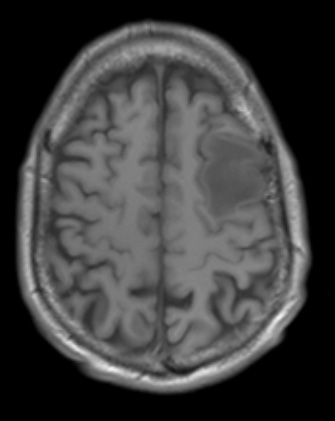
Washington University Experience | INFECTION | Bacteria | Abscess | Abscess, Early (Cerebritis - Initial Wall Formation) | 5A2 (Case 5) T1noC - Copy
5A2,3 These T1-weighted scans without (5A2) and with (5A3) contrast shows a rim enhancing nodule with marked surrounding edema.
