Table of Contents
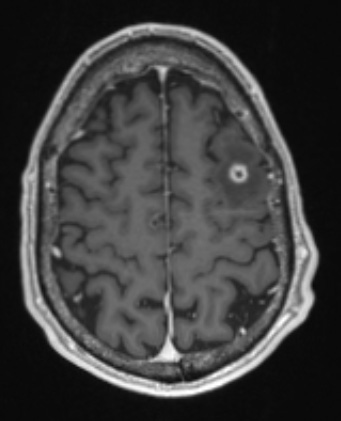
Washington University Experience | INFECTION | Bacteria | Abscess | Abscess, Early (Cerebritis - Initial Wall Formation) | 5A3 (Case 5) T1W - Copy
This T1-weighted scan with contrast shows a rim enhancing nodule with marked surrounding edema.
