Table of Contents



Washington University Experience | INFECTION | Bacteria | Abscess | Abscess, Subacute - Chronic | 13A1 Abscess (Case 13) FLAIR 1 - Copy

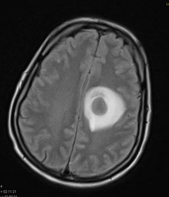
13A1 Abscess (Case 13) FLAIR 1 - Copy
13A1 This single mass has induced a great deal of surrounding edema


Gallery RSS RSS Feed | Archive View | Login | Powered by Zenphoto