Table of Contents
Washington University Experience | INFECTION | Bacteria | Abscess | Abscess, Subacute - Chronic | 16A1 Abscesses, multiple (Case 15) T2 FLAIR - Copy
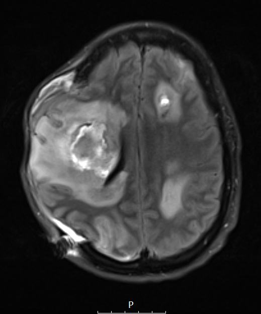
This FLAIR scan shows the largest lesion with marked edema, which is present around smaller lesions as well.
