Table of Contents



Washington University Experience | INFECTION | Bacteria | Abscess | Abscess, Subacute - Chronic | 16A2 Abscesses, multiple (Case 16) MPRAGE W - Copy

16A2 Abscesses, multiple (Case 16) MPRAGE W - Copy
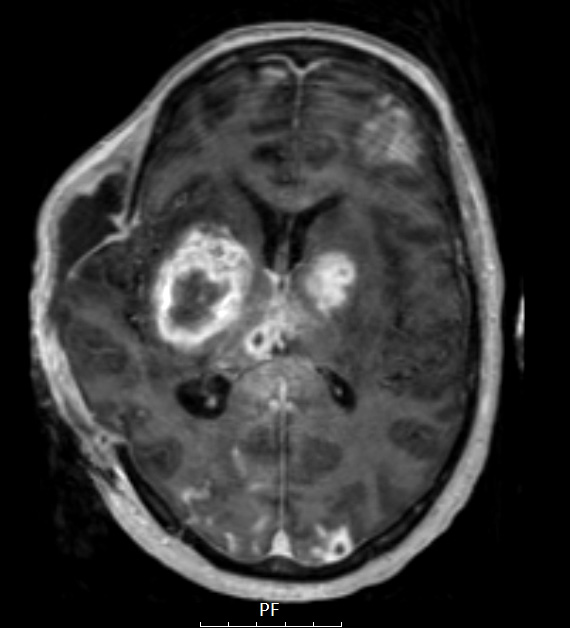
A T1 MPRAGE with contrast shows multiple enhancing lesions.


Gallery RSS RSS Feed | Archive View | Login | Powered by Zenphoto