Table of Contents



Washington University Experience | INFECTION | Bacteria | Abscess | Abscess, Subacute - Chronic | 17A3 Abscess B (Case 17) T1noC axial - Copy

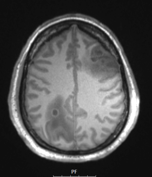
17A3 Abscess B (Case 17) T1noC axial - Copy
A T1 weighted MRI scan without contrast shows prominent perilesional edema.


Gallery RSS RSS Feed | Archive View | Login | Powered by Zenphoto