Table of Contents
Washington University Experience | INFECTION | Bacteria | Abscess | Abscess, Subacute - Chronic | 17A5 Abscess B (Case 17) T1noC - Copy copy
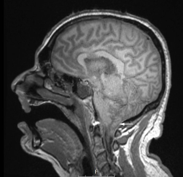
This sagittal T1-weighted scan without contrast shows cerebellar tonsillar herniation (arrow).
