Table of Contents
« prev
next »
Washington University Experience
|
INFECTION
|
Bacteria
|
Abscess
|
Abscess, Subacute - Chronic
|
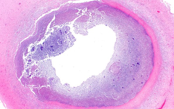
17C11 Abscess (Case 17) N13 H&E 2XA
17C11,12 Particularly photogenic small abscesses with a similar histologic appearance. (H&E)
Image Info
Camera Maker:
Olympus
Camera Model:
DP74
Shutter Speed:
31/100000 sec
Metering Mode:
Multi-Spot
Gallery RSS
|
Archive View
|
Login
|
Powered by
Zenphoto