Table of Contents
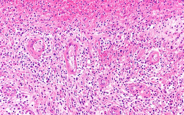
Washington University Experience | INFECTION | Bacteria | Abscess | Abscess, Subacute - Chronic | 17C6 Abscess (Case 17) N12 H&E 20X
The middle layer shows a mixed inflammatory infiltrate of lymphocytes, PMNs and a few plasma cells as well as edema and numerous fibroblasts which may look atypical with mitoses. Notice the proliferation of hyalinized blood vessels. (H&E)
