Table of Contents
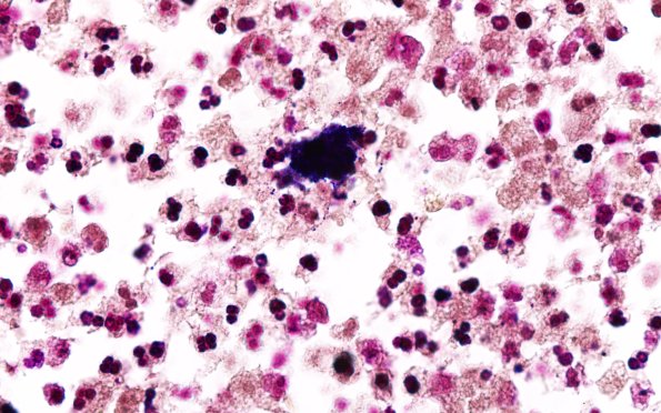
Washington University Experience | INFECTION | Bacteria | Abscess | Abscess, Subacute - Chronic | 17D2 Abscess (Case 17) N12 Gram 100X 1
The same area stained with a Gram stain showing cocci in this bacterial cloud. (Gram stain)
