Table of Contents
« prev
next »
Washington University Experience
|
INFECTION
|
Bacteria
|
Abscess
|
Abscess, Subacute - Chronic
|
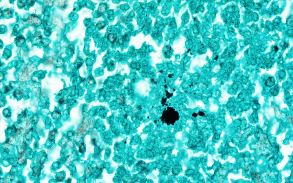
17E1 Abscess (Case 17) N12 GMS 100X 2
A GMS stain shows cocci rather than filamentous bacteria. (GMS)
Image Info
Camera Maker:
Olympus
Camera Model:
DP74
Shutter Speed:
34/977 sec
Metering Mode:
Multi-Spot
Gallery RSS
|
Archive View
|
Login
|
Powered by
Zenphoto