Table of Contents
« prev
next »
Washington University Experience
|
INFECTION
|
Bacteria
|
Abscess
|
Abscess, Subacute - Chronic
|
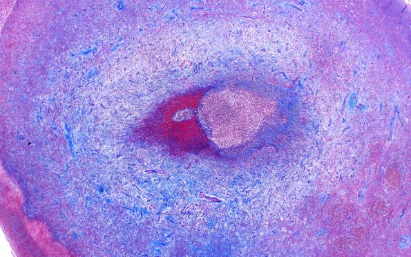
17F2 Abscess A (Case 17) N12 TRI 2XA
These sections show a loose collagenous network around this abscess. (Trichrome)
Image Info
Camera Maker:
Olympus
Camera Model:
DP74
Shutter Speed:
9/25000 sec
Metering Mode:
Multi-Spot
Gallery RSS
|
Archive View
|
Login
|
Powered by
Zenphoto