Table of Contents
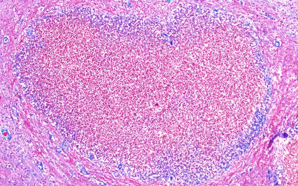
Washington University Experience | INFECTION | Bacteria | Abscess | Abscess, Subacute - Chronic | 17F6 Abscess B (Case 17) N12 TRI 10X
The small abscesses of image initially shown as image #16C9 demonstrate a thin collagenous capsule. (Trichrome)
