Table of Contents
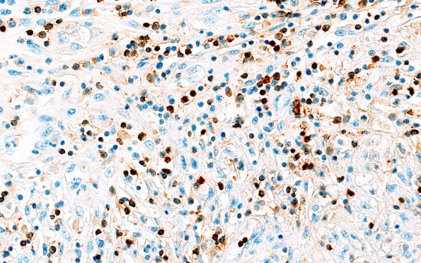
Washington University Experience | INFECTION | Bacteria | Abscess | Abscess, Subacute - Chronic | 17J3 Abscess A (Case 17) N12 CD45 40X
This leukocyte common antigen stain demonstrates the inflammatory cell component but does not stain the purulent material significantly. (LCA, CD45)
