Table of Contents
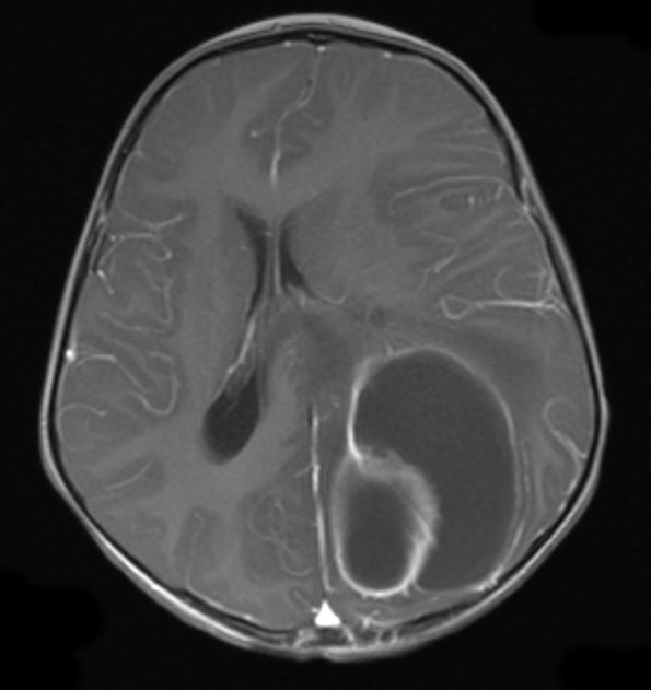
Washington University Experience | INFECTION | Bacteria | Abscess | Abscess, Subacute - Chronic | 6A6 Abscess, bacterial, acute & chronic (Case 6) T1 - Copy
This image demonstrates the effect of administration of contrast medium on the abscess wall.
