Table of Contents
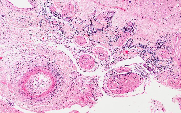
Washington University Experience | INFECTION | Bacteria | Meningitis | Meningitis, acute | 11D3 Meningitis (Case 5) Spinal cord WM 10X A
Closeup of the leptomeninges from 11D2. Note the infiltrate may involve larger vessels in the subarachnoid space (H&E)
