Table of Contents



Washington University Experience | INFECTION | Bacteria | Meningitis | Meningitis, acute | 9C Meningitis, GBStrep (Case 7) Gram 8

9C Meningitis, GBStrep (Case 7) Gram 8
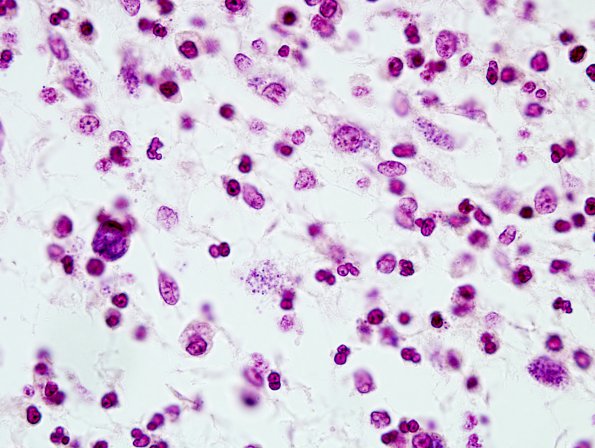
Intracellular bacteria can be seen better and confirmed with a gram stain (Gram).


Gallery RSS RSS Feed | Archive View | Login | Powered by Zenphoto